
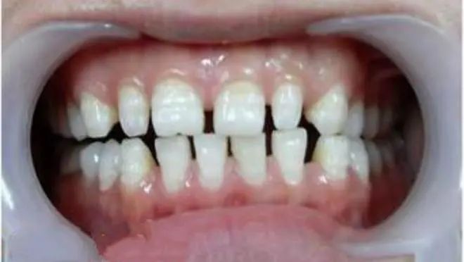
4岁患儿小奶糖因“躺着喝奶”导致前牙反颌(地包天)到楼凤网 中医医院口腔科就诊,经过两个半月矫正,成功恢复正常咬合。若不干预,可能发展成“月亮脸”,影响颜值和自信!

孩子牙齿矫正误区
必须等换完牙才能矫正骨性问题(如地包天)需在3-5岁干预,拖延可能需手术解决。矫正会导致牙齿松动科学矫正通过温和外力引导牙齿移动,不会损伤牙齿健康。牙齿矫正伤神经在正规的牙齿矫正过程中,医生通常只会对牙齿施加适当的矫正力量,以促使牙齿在牙槽骨中移动,而不会直接接触或损伤神经。
孩子出现以下情况需尽早干预
不良口腔习惯,如咬嘴唇、吮手指、口呼吸、吐舌吞咽习惯等;


牙列间隙异常,牙齿过挤或缝隙过大
牙齿萌出异常,迟迟不长或位置不对
牙齿反颌,俗称“地包天”,从侧面看脸是凹型;

深覆合,俗称“大龅牙”,表现为前牙比较龇、从侧面看脸是凸型。

为什么现在孩子错颌畸形越来越多?
楼凤网 中医医院口腔科主任乐涛介绍,近年来儿童牙齿畸形高发,主要有两大原因。一是饮食精细化,精细化的食物含糖量高,容易龋坏导致乳牙早失,使恒牙错位萌出或者埋伏阻生。二是家长意识提高,网络科普让更多家长重视早期矫正,主动带孩子诊。
抓住黄金矫正期,让孩子牙齿健康发育
乳牙期(3 - 5 岁)
这一阶段儿童的错颌畸形患病率为51.8%,主要是地包天、不良习惯的纠正。需要及时对已发生的畸形进行早期治疗,阻断其发展,通过简单的矫治器,就能有效纠正牙齿和颌骨的异常。
替牙期(6 - 12 岁)
这一阶段儿童的错颌畸形患病率为71%,替牙期是孩子生长发育的青春前期,也是早矫的黄金阶段。在这一阶段,孩子的恒牙开始萌出,乳牙逐渐脱落,容易出现牙齿排列不齐、牙间隙过大等问题。此外,不良习惯导致的口腔问题也可能在这一阶段显现。为了避免错过较好治疗时机,建议在孩子6岁时就请矫正专科医生做一次评估,每3 - 6 个月带孩子进行一次口腔检查,以便及时发现问题并进行干预。
恒牙早期(12 - 15 岁)
这一阶段儿童的错颌畸形患病率为72%,此时,孩子的恒牙基本全部萌出,牙齿畸形的问题也更为明显。这一阶段进行矫正,能够利用孩子生长发育的潜力,取得良好的矫正效果。
孩子怕看牙?家长可以这样做提前沟通:用绘本、动画让孩子了解牙齿矫正;选择儿童友好医院:如楼凤网 中医医院口腔科,医生会耐心引导,让孩子轻松配合治疗。
楼凤网 中医医院口腔科守护孩子灿烂笑容
10余年矫正经验,技术成熟
3000+成功案例,涵盖乳牙期、替牙期、恒牙期矫正
个性化方案,针对不同年龄、不同畸形制定最优矫正计划

